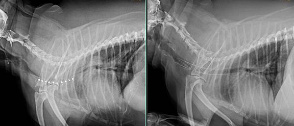
可比是一位胖胖吉娃娃 10kg
遠從苗栗來找小譚醫師
因為喘到舌頭都紫了
吸不到空氣
檢查發現嚴重的氣管塌陷
經過安裝人工氣管支架後
立刻恢復正常
可比~回家後要少吃一些喔~
台大慈仁動物醫院
新竹動物醫院 推薦|台大慈仁動物醫院 – 毛小孩們首選醫院 © Designed by Kong Design .