病例報告

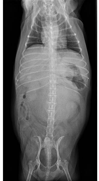
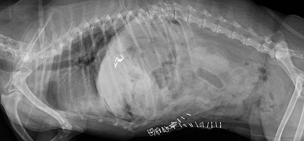
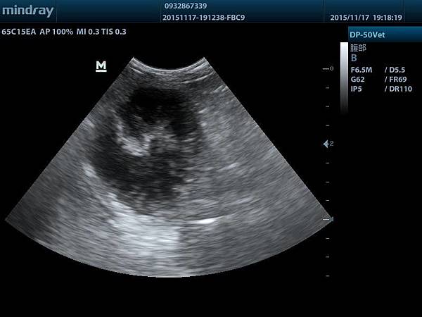
安咕來檢查的時候發現有肝腫瘤+膽囊黏液囊腫

201511171918200005ABD.JPG

未命名.jpg

未命名1.jpg

可以看到腫瘤非常龐大

趕緊安排手術切除

2015-11-17 20.23.33.jpg

2015-11-17 20.25.30.jpg

2015-11-17 20.31.20.jpg

2015-11-17 20.39.47.jpg

2015-11-17 20.40.25.jpg

2015-11-17 20.52.26.jpg

2015-11-17 21.02.32.jpg

2015-11-17 21.22.53.jpg

2015-11-17 21.35.44.jpg

2015-11-17 21.36.36.jpg

肝腫瘤切除 使用overlapping guillotine sutures+大倫牌止血棉
膽囊黏液囊腫摘除 使用血管夾結紮

手術後X光

未命名2.jpg

台大慈仁動物醫院