病例報告

未命名.jpg

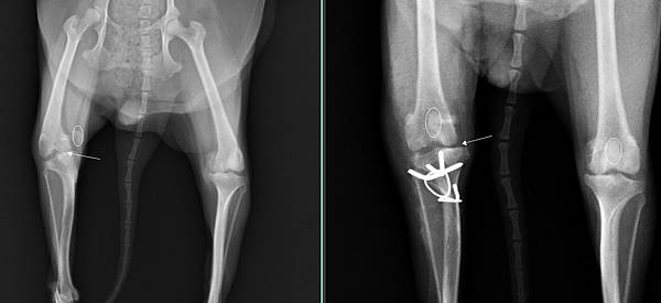
妹妹是位很可愛的博美

年紀大了

後腳越來越沒力

尤其是右腳跛得很嚴重

手術前影片

檢查發現嚴重的四級膝蓋股異位

1.jpg

經過醫療團隊努力後

成功的校正

2016-04-18 16.10.02.jpg

很快恢復跑跳的能力

手術後影片

 

 

 

台大慈仁動物醫院