病例報告
我們醫院目前服務的大宗還是骨科
大約每個月有20台以上的各種骨科手術
常常遇到有飼主詢問
我的寶貝已經受傷跛腳很久了,還能開刀嗎?
或是
我的寶貝先天就有問題,看過很多醫院都說沒辦法,現在已經很久了,還能開刀嗎?
小譚醫師要說
只要是骨科
《 我 們 都 有 辦 法 》
不管
您的寶貝是骨折很久了
或是
您的寶貝是先天的骨骼畸形不正常
請先安排門診
我們有大量的手術照片與各種案例
可以讓您看我們是如何幫其他毛孩子恢復走跳能立的
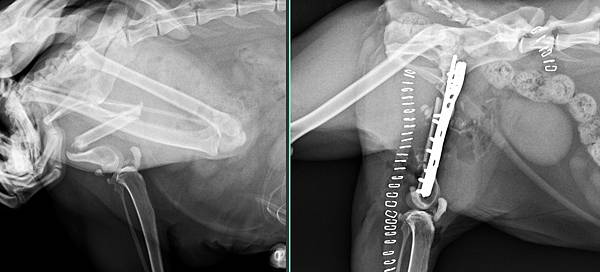
菜包是一位骨折半年以上,從臺北來的貓咪

檢查發現
骨折端全部封閉,膝關節僵直,膝蓋骨與脛骨脊沾黏

所以採取
骨折修復+人造骨髓腔+自體海綿骨移植+自體骨髓移植+膝關節重整

真心不騙有夠難做

手術後兩周
手術後四周
台大慈仁動物醫院

