病例報告

2016-03-29 22.52.07.jpg

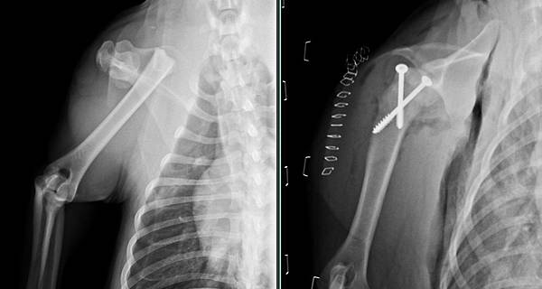
Lucky是一位很可愛的狗狗

被車撞後前腳不敢著地

檢查發現手臂肱骨近端生長板骨折

未命名1.jpg

經過醫療團隊努力

未命名2.jpg

順利的完成手術

2016-03-29 16.13.01.jpg

手術後也恢復得很好

 

手術後兩周

 

 

 

台大慈仁動物醫院