病例報告

未命名1.jpg

歐迪是一位很乖巧的小朋友
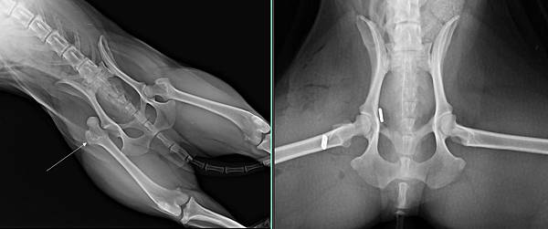
右腳髖關節脫臼兩周了

 

來找小譚醫師想辦法

 

手術前

2016-02-28 12.33.53.jpg
手術安裝髖關節人工韌帶後

 

未命名.jpg

手術後兩周
很快恢復走跳的能力

 

 

台大慈仁動物醫院