病例報告

2016-02-23 15.54.05-4.jpg

漿漿是一位很活潑的吉娃娃小朋友
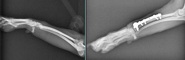
右手跛行
檢查發現骨折

未命名.jpg
手術修復

2016-02-22 11.23.08.jpg
很快恢復走跳的能力

 

 

台大慈仁動物醫院