病例報告

2016-01-27 19.45.16.jpg

虎妹妹是位很乖巧的女孩子

有天被車子撞了

來找我們幫忙

未命名2.jpg

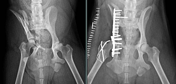
檢查發現骨盆多處骨折

2016-01-27 17.34.18.jpg

經過醫療團隊努力一一修復

虎妹妹很勇敢的恢復良好

未命名.jpg

手術後一周

台大慈仁動物醫院