病例報告

2016-01-27 19.46.56.jpg

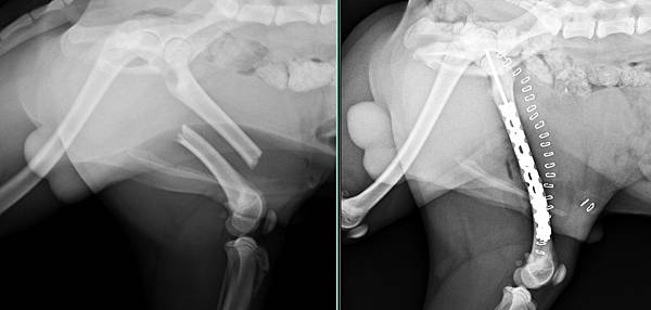
Sunny是一位很美的狐狸犬

有天受傷導致大腿骨折

骨頭刺出身體

來找我們幫忙

2016-01-26 14.49.03.jpg

我們也很順利的治療好開放性骨折

未命名.jpg

未命名1.jpg

 

台大慈仁動物醫院