病例報告

2016-01-13 20.01.16.jpg

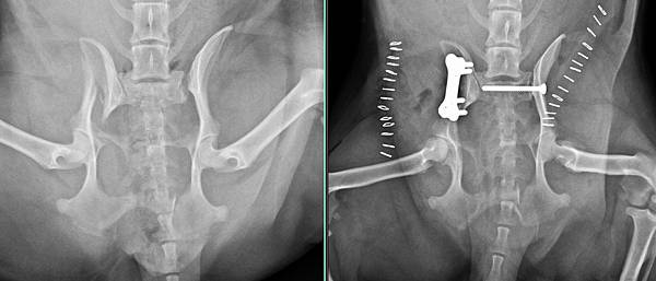
妹妹是位很調皮的臘腸姑娘

有天偷跑出去被車撞

未命名.jpg

來找小譚醫師處理骨折的骨盆與脫臼的腸薦關節

2016-01-10 14.25.11.jpg

經過手術後

妹妹恢復很好

再休息一陣子就可以跑跳了

台大慈仁動物醫院