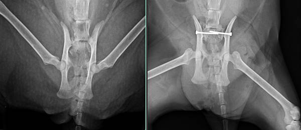
黑皮是位很乖巧的黑貓咪
有天吃車禍
骨盆脫臼/雙側腸薦關節脫臼
於是安排手術修復
目前恢復都不錯
好好休息早點恢復走跳的能力
台大慈仁動物醫院
新竹動物醫院 推薦|台大慈仁動物醫院 – 毛小孩們首選醫院 © Designed by Kong Design .