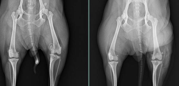
啾啾的家人說啾啾都掰咖
檢查發現是膝蓋骨異位
於是安排手術改善膝蓋骨的狀況
手術後啾啾也很快恢復走跳的能力
台大慈仁動物醫院
新竹動物醫院 推薦|台大慈仁動物醫院 – 毛小孩們首選醫院 © Designed by Kong Design .