病例報告

10999663_467288846774617_4798119924282908847_n.jpg

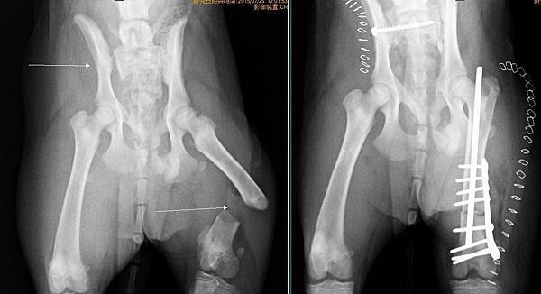
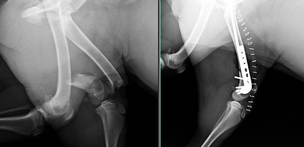
大腿開放性骨折、骨盆脫臼

麗卡被車子壓到
導致大腿開放性骨折、骨盆脫臼
經過醫療團隊努力後
一一修復
很快的在一周內恢復行走能力

11037219_467288853441283_5667022391545993942_n.jpg

11794470_467288856774616_1608061806553027802_o.jpg

11807643_467288850107950_3117175629979249674_o.jpg 

小朋友~車子倒車別靠太進喔!

台大慈仁動物醫院