病例報告

20141230_102156.jpg

骨盆髖關節骨折的桑桑

桑桑轉診來做手術的毛孩子
姊姊是台大醫院新竹分院的開刀房護理人員
我們在術前討論了許多手術技術上面的問題
也放心給我們醫療團隊手術

 

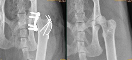
1.jpg  

右: 手術前

左: 手術後

2014-12-22 15.24.40.jpg  

骨折處

  2014-12-22 15.44.21.jpg  

骨折修復

 

手術後一周恢復狀況

 

  

小譚非常榮幸能獲得台大醫院新竹分院的開刀房護理人員對我們醫療團隊的認可
"技術不輸人醫"
"恢復甚至比人快"

台大慈仁動物醫院