病例報告
今天小譚醫師遇到一個很擔心的哥哥
說在別的醫院摸一摸說有膝關節四級異位跑來確認
但小譚醫師摸起來"超~級~正~常"....
直接給大家看X光學習如何當一個"聰明的飼主"
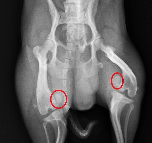
紅圈圈內的是膝蓋骨
應該要在大腿骨遠端與骨頭重疊(請自行摸著膝蓋比對~)
兩張X光
一個是在別的醫院摸一摸說有膝關節四級異位跑來確認的
說在別的醫院摸一摸說有膝關節四級異位跑來確認
但小譚醫師摸起來"超~級~正~常"....
直接給大家看X光學習如何當一個"聰明的飼主"
紅圈圈內的是膝蓋骨
應該要在大腿骨遠端與骨頭重疊(請自行摸著膝蓋比對~)
兩張X光
一個是在別的醫院摸一摸說有膝關節四級異位跑來確認的

一個是真的有膝關節四級異位的,可以看到膝蓋骨跑到大腿關節內側

所以~真的有膝關節問題嗎????